10月5日「西岡ヤンマ団」活動日でした。

「西岡ヤンマ団」

10月のヤンマ団の活動日がありました。

野外での調査活動は今年度最後です。

トンボの調査をする子どもたち

池の上には翅をキラキラさせながら飛ぶトンボの姿が見えています。

トンボの調査をする子どもたち

この日の目的は、みんなでトンボの採卵をしてみることです。

トンボの調査をする子どもたち

まずトンボを捕まえますよ。

どんなトンボの卵を採卵できるかな?

トンボの採卵する子どもたち

トンボのメスを捕まえたら、スタッフのところにあるカップに採卵しますよ。

トンボの卵を産ませる団員

メスのおなかの先から、ぽろぽろ卵が出てきますよ。

トンボの採卵する子どもたち

淡い黄いろの小さな卵です。

トンボの採卵する子どもたち

産んでる産んでる。

トンボの採卵する子どもたち

この日はノシメトンボ、キトンボ、ナツアカネ、アキアカネの卵を採卵出来ましたよ。

トンボの先生と団員の姿

トンボの採卵以外にもシーズン最後のトンボの採集をしましたよ。

トンボの先生とのふれあいからも学ぶことがたくさんです。

トンボの卵を顕微鏡でのぞく子どもたち

管理事務所に戻ってトンボの卵の観察をしましたよ。

トンボの卵を顕微鏡でのぞく子どもたち

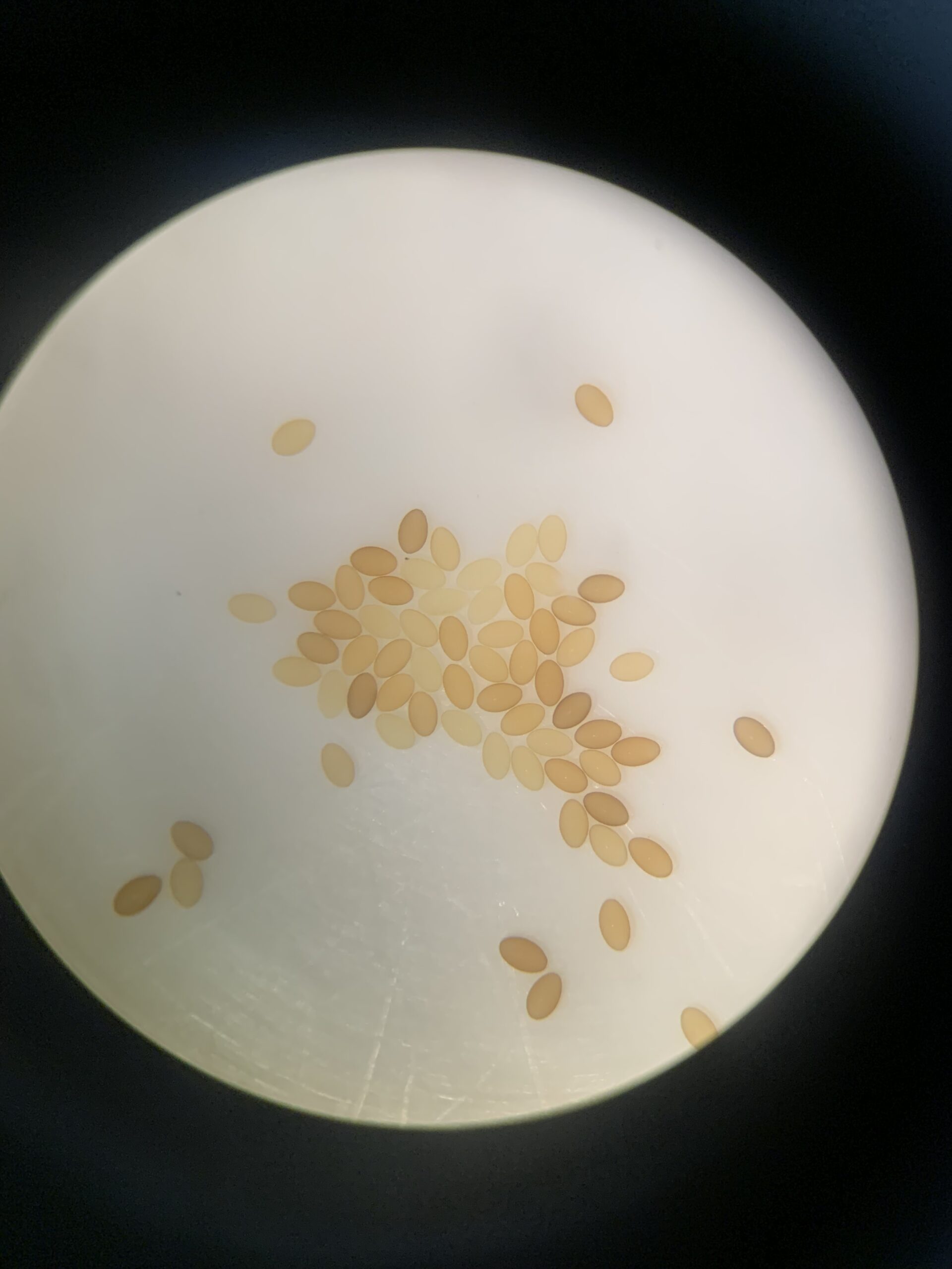
卵によって形が違いますね。

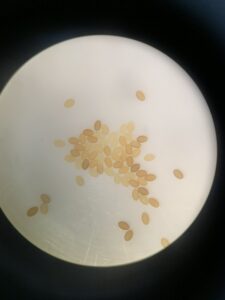
顕微鏡でのぞいたトンボの卵

顕微鏡でのぞくと卵の色と形がわかりました。

これはアキアカネの卵ですよ。

トンボの講義を聞く子ども

北海道トンボ研究会のトンボの先生から産卵についての講義がありました。

トンボの産卵の美しい写真を見ながら、自然界では、どんな場所でどんなふうに卵を産んでいるか教えて頂けましたよ。

産卵はどんな場所でもいいわけではないこともわかりましたね。

トンボの先生を囲む子どもたち

お手製のトンボの下敷きのプレゼントもありました。

団員達は嬉しそうですね!

 

保護者の皆さま、北海道トンボ研究会の皆さま、卒業生スタッフの皆さま、ありがとうございました。

ヤンマ団のみんなも楽しかったね!!

お疲れ様でした。